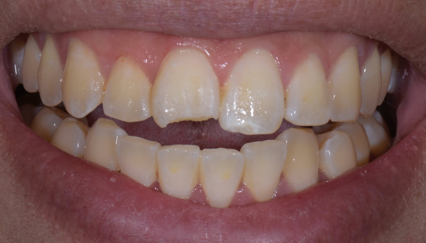
From Break to Beautiful: Flawless Class IV Resin Restorations
Thank you to our sponsor!
Course Overview
Through a blend of focused lecture and guided hands-on technique, you’ll learn how to handle every step of the process—from accurate shade selection and predictable bonding to meticulous contouring and a glassy, long-lasting polish.
Whether you’re restoring a single tooth or multiple adjacent fractures, this course will equip you with the skills and confidence to achieve restorations that blend seamlessly into the natural dentition—all from the comfort of your home or office.
Join us for an intensive workshop dedicated to mastering back-to-back Class IV composite restorations.
Join us for an intensive workshop dedicated to mastering back-to-back Class IV composite restorations.
Write your awesome label here.
Lecture
Technique Demonstration
During the hands-on sessions, you’ll work alongside Dr. Desai to:
- Select and Layer Composite Shades
- Execute Precise Preparations
- Layer & Sculpt Back-to-Back Restorations
- Contour with Confidence
- Achieve a Glassy Polish
Write your awesome label here.
Write your awesome label here.
Hands-on Kit
(Optional) Order the hands-on kit as a to follow along with Dr. Desai during the live workshop.
You’ll replicate each step, gaining practical experience to confidently apply these techniques in your practice. The kit offers a seamless learning experience from your office or home.
You’ll replicate each step, gaining practical experience to confidently apply these techniques in your practice. The kit offers a seamless learning experience from your office or home.
Watch Recordings for 1 Year
Watch the workshop anytime, anywhere for 1 Year with full replay access!
Hands-on Participation CE Credits
Earn 7 hands-on
participation CE credits.
participation CE credits.
Fraction of
the Cost
Combine the convenience of online CE with the advantage of hands-on courses.
Dental Online Training has truly made me a better dentist and significantly upped my game. I’m also much more confident with treatment planning now. In some courses, there are so many people that you feel like just a tiny person in a big room, and you don’t always get your questions answered. But that’s not the case with DOT.
Dr. Kirstin Ramsay
Frisco, TX
Dimple Desai, DDS, AAACD
Dr. Dimple Desai is the founder of Luminous Smiles of Newport Beach, a boutique dental practice focusing on rejuvenating patients’ lives through their smiles. She has been recognized locally as Orange County's Top Dentist for the past three years and was selected as one of the Top 40 Dentists under the age of 40 in the country.
Dr. Desai obtained both her Bachelor's degree in Dental Hygiene and a Doctorate of Dental Surgery from the University of Southern California, and later returned to her Alma Mater as a Clinical Adjunct Professor to educate dental students on the clinic floor. Dr. Desai is also a graduate of the Kois Institute and is an Accredited Member of the American Academy of Cosmetic Dentistry.
Dr. Desai obtained both her Bachelor's degree in Dental Hygiene and a Doctorate of Dental Surgery from the University of Southern California, and later returned to her Alma Mater as a Clinical Adjunct Professor to educate dental students on the clinic floor. Dr. Desai is also a graduate of the Kois Institute and is an Accredited Member of the American Academy of Cosmetic Dentistry.
SIGN UP TODAY!
One Workshop. Full-Year Access.
This workshop is included with Premium Membership.
Your registration includes:
• Access to this live virtual workshop
• 12 months of access to the workshop recording
• 12 months of access to the workshop recording
• Full access to the entire DOT course library (230+ CE Credits)
• Your own Customer Success Manager to help you with anything related to this course or DOT
Cancel online anytime to avoid renewal.
Write your awesome label here.
Frequently Asked Questions
Is this workshop sold individually?
No. This workshop is included with the DOT Premium Membership.
Unlike traditional courses that end when you leave the room, our membership includes 12 months of replay access, live clinical discussion sessions, complimentary live and on-demand courses, and a dedicated Customer Success Manager to support you throughout your DOT experience.
Cancel anytime online to avoid renewal.
What exactly do I get when I join Premium Membership?
When you join DOT Premium Membership, you receive:
• Live access to this workshop
• 12 months of replay access
• Complimentary live (7 workshops) and on-demand clinical courses (25+ courses)
• Live clinical discussion sessions for feedback and case review (12 sessions per year)
• Access to earn CE credits on eligible courses (150+ CE credits available)
• A dedicated Customer Success Manager to support you
Most members join for a single workshop and discover they’ve gained a full year of continuing education and mentorship designed to fit their schedule.
How is DOT different than in-person courses?
In-person education provides valuable live instruction, but it ends when the course ends.
DOT is built around learning and implementing what you’ve learned. With 12 months of replay access, ongoing live clinical discussion sessions, and guidance from Dr. Hartlieb and industry experts, you can implement what you learned, ask follow-up questions, and receive feedback on your own cases — on your schedule.
Most clinicians retain only a portion of what they learn from a single event. We believe repetition and ongoing support over time are what build true clinical confidence.
Are hands-on kits included in Membership?
To keep membership costs lower, hands-on kits are optional and available for separate purchase. Pricing typically ranges from $400 to $650, depending on the materials, models, and complexity of the course.
Do I earn CE credits for this workshop?
Yes. Active participation in this workshop qualifies you for hands-on participation credits. Certificates are available for download in your member dashboard upon completion.
Is there a long-term commitment?
No. Membership is billed annually, and you can cancel online anytime before renewal. There are no contracts.


